경희대 의대 박은정 교수팀, 실내공기의 주성분인 미세섬유의 호흡기 위험성 규명
뉴스데스크
0
622
2023.02.26 00:32
미세섬유의 호흡기 노출에 따른 건강 영향 연구결과 발표
독성학 분야 국제학술지 ‘나노톡시콜로지(Nanotoxicology)’ 게재
뉴스제공 : 경희대학교 커뮤니케이션센터
2023-02-22 10:01
경희대학교(총장 한균태)는 의과대학 박은정 교수와 고려대학교(총장 정진택) 공과대학 김동완 교수 공동 연구팀이 미세섬유(nanofibers)의 호흡기 노출에 따른 건강 영향 연구 결과를 발표했다고 22일 밝혔다.
이번 연구 결과는 ‘성상이 다른 미세섬유의 호흡기 노출에 따른 독성 및 그 독성기전 비교(Comparison of toxicity and cellular responses following pulmonary exposure to different types of nanofibers)’라는 제목의 논문으로, 독성학 분야의 국제 학술지 ‘나노톡시콜로지(Nanotoxicology)’(IF=5.913)에 2월 20일 게재됐다.
◇ 가정과 사무실 실내공기 속 미세섬유가 우리 몸에 미치는 영향
우리가 생활하는 가정과 사무실 등의 실내공기에는 이불이나 옷 등에서 떨어진 미세섬유가 다량 함유돼 있다. 특히 최근에는 재료비 절감과 내구성 등을 이유로 천연섬유보다 합성섬유를 이용한 옷이 급격히 증가하는 추세다. 올해 1월 30일 착용 의무가 권고로 완화된 마스크의 소재도 합성섬유다. 미세섬유는 전 세계적 이슈인 미세플라스틱과 같이 석유를 정제하는 과정에서 만들어지는 석유화학제품이라는 점에서 더욱 주목할 만하다.
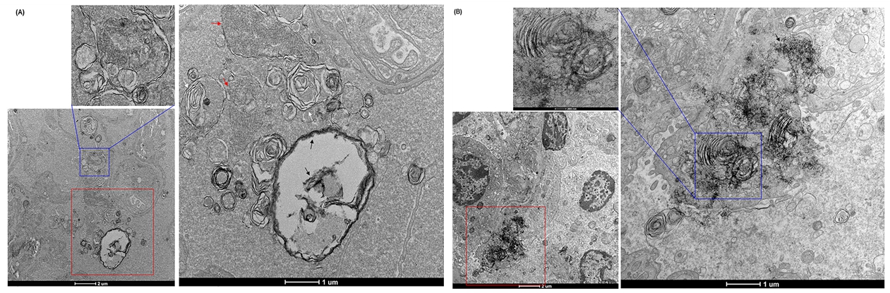
박은정 교수 연구팀은 합성 미세섬유로 인한 건강상의 변화가 섬유 속 화학 성분으로 인한 것인지 물리적 요인인지를 확인하기 위해 실험을 설계했다. 연구팀은 전기방사(elctrospinning)를 통해 만든 폴리에틸렌 미세섬유와 실크 미세섬유(전기방사를 위한 틀로 이용된 폴리에틸렌 성분을 제거한 미세섬유)를 잘게 잘라 미세섬유가 호흡기를 통해 인체에 유입됐을 때 발생할 수 있는 건강 영향을 조사했다.
그 결과 미세섬유를 마우스의 호흡기로 4주 간 투여했을 때 고농도의 실크 미세섬유에 노출된 암컷 마우스의 체중이 대조군에 비해 유의미하게 감소했다. 성상과 관계없이 미세섬유를 투여한 마우스에서는 미세섬유를 투여하지 않은 마우스 군과 비교해 폐포 내 세포 수가 증가했다. 하지만 호중구와 호산구의 비율은 실크 미세섬유에 노출된 암컷 마우스에서만 유의하게 증가했다.
폴리에틸렌 미세섬유 및 실크 미세섬유에 노출된 마우스의 폐 조직에서 혈관·세기관지·간질에의 염증 세포 침윤, 폐포 내 대식세포의 응집, 소동맥 중막의 퇴화 및 비대, 점액 세포의 증식 및 점액 마개의 생성, 다핵 거대 세포 및 거품성 대식세포의 출현 등과 같은 조직병리학적 변화가 관찰됐다. 그리고 이런 변화에 관여하는 12종의 염증 관련 마커 가운데 호중구와 대식세포 유입에 관여하는 CXCL1 및 MCP-1α, 손상된 조직의 수리에 관여하는 TGF-β의 농도만 증가했다. 이중 TGF-β는 특발성 폐섬유증의 발생과 밀접하게 연관된 마커이기도 하다.
주목할 부분은 혈액 내 총 빌리루빈, 포도당, 나트륨, 염소, 칼슘, 크레아티닌 키나제 등의 농도 변화와 함께 호산구의 분포가 증가한 점이다. 이는 호흡기를 통해 노출된 합성 미세섬유가 혈액 속에서 면역학적·생화학적 변화를 일으키고, 전신적 건강 영향을 유도할 수 있음을 의미한다.
◇ 내구성 좋은 합성미세섬유, 체내 유입되면 배출될 가능성 더 낮아져
박은정 교수는 동물실험에서 얻은 합성 미세섬유 2종의 독성 기전을 더욱 자세히 관찰하기 위해 폐포 내 대식세포에 24시간 노출한 후 세포 내에서 일어나는 반응을 관찰했다. 이들 미세섬유는 산화 스트레스와 산화질소 생산 증가, 세포막 파열, 세포 내 소기관 손상, 세포 내 칼슘 축적을 통해 세포괴사와 세포자살을 유도했다. 이들 미세섬유에 노출된 대식세포에서 다핵거대세포가 형성된 점도 주목할 만하다.
박은정 교수는 “섬유의 좋은 내구성은 결국 환경 내에서 발생할 수 있는 물리적·화학적 스트레스에 강함을 의미한다. 뒤집어 생각하면 내구성이 좋은 물질이 인체에 유입됐을 때 체내에서 분해돼 배출될 가능성이 매우 낮아진다는 것을 의미하기도 한다”라며 “호흡기는 분해되거나 용해되지 않으면 체외로 배출될 가능성이 매우 낮은 노출경로 중 하나”라고 설명했다.
이번 연구의 시사점은 ‘실내공기 관리의 중요성’을 강조한 점이다. 박은정 교수는 가정에서 건조된 빨래를 갠 후나 건조기 사용 후의 관리를 강조했다. 전태일 열사를 주인공으로 한 영화에서 1960년대 후반 평화시장의 봉제공장에서 일하던 미싱사나 재단사들 중 폐질환을 앓은 노동자들이 많았던 것 기억할 것이다. 그 원인이 미세섬유였다.
물론 노출량은 크게 다르지만 긴 시간 지속적으로 노출된다는 점을 고려할 때 건조기 주변과 빨래를 갠 장소를 물에 적신 밀대로 밀거나 물청소해서 미세섬유가 실내에 부유하는 것을 최대한 방지해야 한다. 기어다니는 아기나 활동성이 강한 어린이를 키우는 가정, 겨울철 실내가 건조할 때는 미세섬유가 부유할 가능성이 높아 더욱 주의를 기울여야 한다.
한편 이번 연구는 한국연구재단과 안전성평가연구소의 지원으로 수행됐다. 박은정 교수는 지난해 11월 산업통상자원부 산하 국가참조표준센터가 지정한 호흡기 안전성 데이터센터로 지정받아 연구에 탄력을 얻었다.
박은정 교수는 “앞으로도 생활 속 유해 물질의 호흡기 노출로 인해 발생할 수 있는 질병을 예방하는 데에 도움을 주는 연구를 위해 최선을 다할 것”이라고 말했다. /심상우 기자




